2025.10.15
【症例8】叢生症例 20代女性

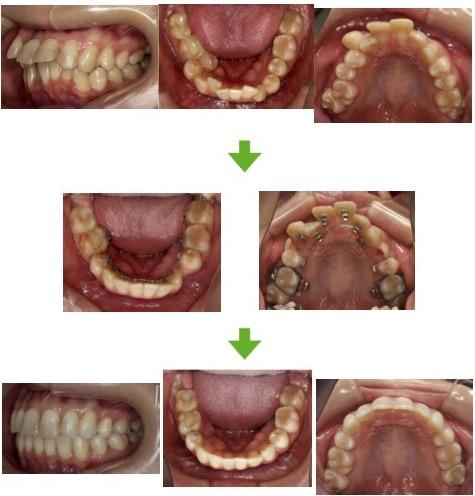
⚫︎診断
angle class I
⚫︎装置の種類
上リンガルブラケット 下ラビアルブラケット
⚫︎抜歯部位
上顎小臼歯2本 下顎小臼歯2本
⚫︎治療期間
36ヶ月
⚫︎治療費用
約110万円
⚫︎付記
歯のデコボコを主訴に来院され
下顎右側小臼歯が舌側に倒れておりそれによって大臼歯が近心に
倒れ込んでいる。上顎は前歯が唇側傾斜している。
上下小臼歯抜歯で治療開始し
臼歯咬合関係も改善し前歯の唇側傾斜も改善しており
良好な結果を得られています。
