2025.11.25
【症例9】叢生症例 30代女性

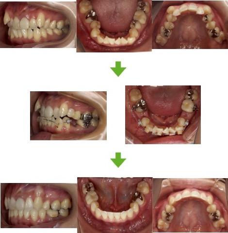
⚫︎診断
angle class I
⚫︎装置の種類
上リンガルブラケット 下ラビアルブラケット
⚫︎抜歯部位
上顎小臼歯2本 下顎小臼歯2本
⚫︎治療期間
30ヶ月
⚫︎治療費用
約110万円
⚫︎付記
歯のデコボコを主訴に来院され
上顎犬歯が唇側に転位し左側大臼歯が挟状咬合になっている。
上下小臼歯抜歯で治療開始し
臼歯咬合関係も改善し前歯の叢生も改善しており
良好な結果を得られています。
【症例9】叢生症例 30代女性|大阪で見えにくい裏側矯正・痛みの少ない歯列矯正を行なう『ひがしさわ矯正歯科』

⚫︎診断
angle class I
⚫︎装置の種類
上リンガルブラケット 下ラビアルブラケット
⚫︎抜歯部位
上顎小臼歯2本 下顎小臼歯2本
⚫︎治療期間
30ヶ月
⚫︎治療費用
約110万円
⚫︎付記
歯のデコボコを主訴に来院され
上顎犬歯が唇側に転位し左側大臼歯が挟状咬合になっている。
上下小臼歯抜歯で治療開始し
臼歯咬合関係も改善し前歯の叢生も改善しており
良好な結果を得られています。