2026.04.08
【症例15】上顎前突症例 20代女性

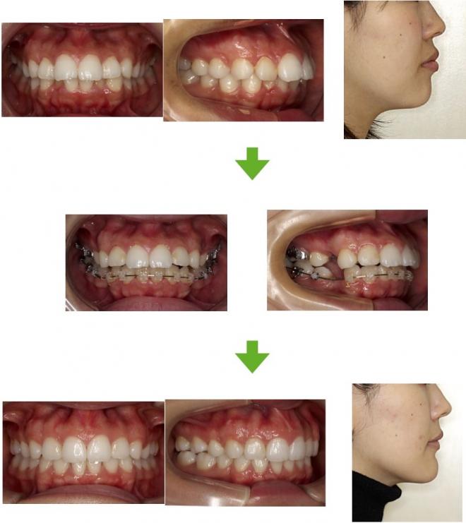
⚫︎診断
angle class I
⚫︎装置の種類
上リンガルブラケット 下ラビアルブラケット
⚫︎抜歯部位
上下顎小臼歯2本抜歯
⚫︎治療期間
38ヶ月
⚫︎治療費用
約110万円
⚫︎付記
叢生を伴う上顎前突症例
上下小臼歯を抜歯して治療開始
叢生および前突の改善することが出来た。
良好な顔貌も得られています。
【症例15】上顎前突症例 20代女性|大阪で見えにくい裏側矯正・痛みの少ない歯列矯正を行なう『ひがしさわ矯正歯科』

⚫︎診断
angle class I
⚫︎装置の種類
上リンガルブラケット 下ラビアルブラケット
⚫︎抜歯部位
上下顎小臼歯2本抜歯
⚫︎治療期間
38ヶ月
⚫︎治療費用
約110万円
⚫︎付記
叢生を伴う上顎前突症例
上下小臼歯を抜歯して治療開始
叢生および前突の改善することが出来た。
良好な顔貌も得られています。