2026.03.09
【症例14】開咬と叢生を伴う骨格性反対咬合 10代女性

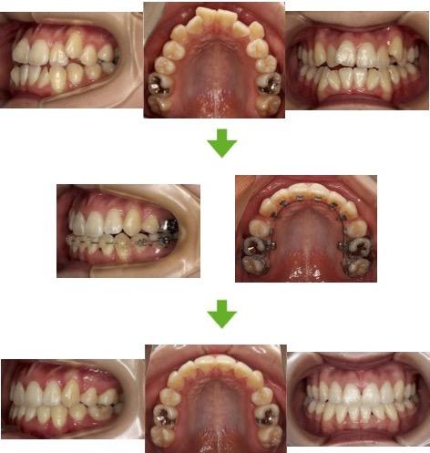
⚫︎診断
angle class Ⅲ
⚫︎装置の種類
上リンガルブラケット 下ラビアルブラケット
⚫︎抜歯部位
上下顎小臼歯2本抜歯
⚫︎治療期間
36ヶ月
⚫︎治療費用
約110万円
⚫︎付記
開咬を伴う叢生症例かつ骨格的反対咬合の難症例です。
上下小臼歯を抜歯して治療を開始し開咬及び叢生を改善している。
咬合関係についても良好である。
【症例14】開咬と叢生を伴う骨格性反対咬合 10代女性|大阪で見えにくい裏側矯正・痛みの少ない歯列矯正を行なう『ひがしさわ矯正歯科』

⚫︎診断
angle class Ⅲ
⚫︎装置の種類
上リンガルブラケット 下ラビアルブラケット
⚫︎抜歯部位
上下顎小臼歯2本抜歯
⚫︎治療期間
36ヶ月
⚫︎治療費用
約110万円
⚫︎付記
開咬を伴う叢生症例かつ骨格的反対咬合の難症例です。
上下小臼歯を抜歯して治療を開始し開咬及び叢生を改善している。
咬合関係についても良好である。