
⚫︎診断
angle class I
⚫︎装置の種類
上下リンガルブラケット
⚫︎抜歯部位
上下顎小臼歯2本抜歯
⚫︎治療期間
36ヶ月
⚫︎治療費用
約130万円
⚫︎付記
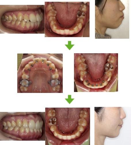
上下前歯が唇側傾斜し口唇閉鎖不全をおこしている症例
上下小臼歯を抜歯して治療を開始し良好な咬合関係を得られている。
顔貌もE-LINEが非常に良くなっており口も閉じやすくなっています。
【症例13】上下顎前突症例 30代女性|大阪で見えにくい裏側矯正・痛みの少ない歯列矯正を行なう『ひがしさわ矯正歯科』

⚫︎診断
angle class I
⚫︎装置の種類
上下リンガルブラケット
⚫︎抜歯部位
上下顎小臼歯2本抜歯
⚫︎治療期間
36ヶ月
⚫︎治療費用
約130万円
⚫︎付記
上下前歯が唇側傾斜し口唇閉鎖不全をおこしている症例
上下小臼歯を抜歯して治療を開始し良好な咬合関係を得られている。
顔貌もE-LINEが非常に良くなっており口も閉じやすくなっています。