2025.12.10
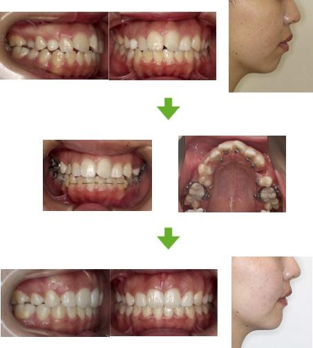
【症例10】右上3番欠損開咬症例 10代女性

⚫︎診断
angle class I
⚫︎装置の種類
上リンガルブラケット 下ラビアルブラケット
⚫︎抜歯部位
上顎小臼歯1本 下顎小臼歯2本 右上乳歯抜歯
⚫︎治療期間
36ヶ月
⚫︎治療費用
約110万円
⚫︎付記
全体的な噛み合わせが悪い事を主訴に来院され
右上3番が欠損し乳歯が残存している。
上下小臼歯及び乳歯を抜歯して治療開始し
全体的な咬合関係及び顔貌についても下顎の後退感が改善し
良好な結果を得られています。
