2025.12.26
【症例11】重度の叢生を伴う反対咬合症例 20代女性

⚫︎診断
angle class I
⚫︎装置の種類
上リンガルブラケット 下ラビアルブラケット
⚫︎抜歯部位
上下顎小臼歯2本抜歯
⚫︎治療期間
32ヶ月
⚫︎治療費用
約110万円
⚫︎付記
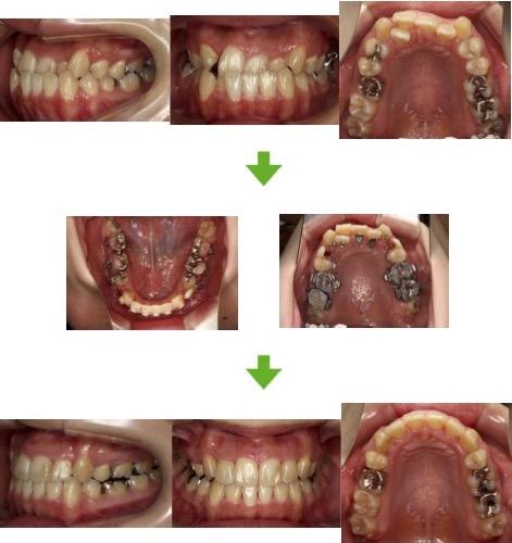
上顎に重度の叢生(デコボコ)を伴う反対咬合
上下小臼歯を抜歯して治療を開始し
良好な咬合関係を得られ歯周組織も改善されている。
【症例11】重度の叢生を伴う反対咬合症例 20代女性|大阪で見えにくい裏側矯正・痛みの少ない歯列矯正を行なう『ひがしさわ矯正歯科』

⚫︎診断
angle class I
⚫︎装置の種類
上リンガルブラケット 下ラビアルブラケット
⚫︎抜歯部位
上下顎小臼歯2本抜歯
⚫︎治療期間
32ヶ月
⚫︎治療費用
約110万円
⚫︎付記
上顎に重度の叢生(デコボコ)を伴う反対咬合
上下小臼歯を抜歯して治療を開始し
良好な咬合関係を得られ歯周組織も改善されている。