2026.02.03
【症例12】長期安定している叢生症例 20代女性

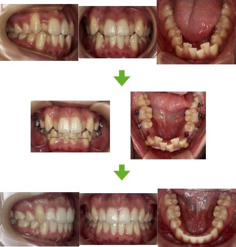
⚫︎診断
angle class I
⚫︎装置の種類
上リンガルブラケット 下ラビアルブラケット
⚫︎抜歯部位
上下顎小臼歯2本抜歯
⚫︎治療期間
28ヶ月
⚫︎治療費用
約110万円
⚫︎付記
上下顎に重度の叢生(デコボコ)を伴う叢生症例
上下小臼歯を抜歯して治療を開始し
良好な咬合関係を得られている。術後5年経過しているが、
歯列咬合ともに安定している。
【症例12】長期安定している叢生症例 20代女性|大阪で見えにくい裏側矯正・痛みの少ない歯列矯正を行なう『ひがしさわ矯正歯科』

⚫︎診断
angle class I
⚫︎装置の種類
上リンガルブラケット 下ラビアルブラケット
⚫︎抜歯部位
上下顎小臼歯2本抜歯
⚫︎治療期間
28ヶ月
⚫︎治療費用
約110万円
⚫︎付記
上下顎に重度の叢生(デコボコ)を伴う叢生症例
上下小臼歯を抜歯して治療を開始し
良好な咬合関係を得られている。術後5年経過しているが、
歯列咬合ともに安定している。